안녕하세요.

제이슨99 입니다.

 

이번에는 제가 받은 치료법인 편도적출 + 스테로이드 펄스에 대한 내용을 소개드리려고 합니다.

(일본에서 IgA신증의 메인 치료법입니다.)

편도선 적출 및 스테로이드 펄스 시술은 일본내에서도 과잉치료다 아니다 등 논란이 있습니다.

(다만 최근에는 메인 치료법으로 일본신장학회에서도 시술 추천인 상황입니다.)

 

그럼에도 왜 제가 굳이 몇차례 해당내용을 소개하려고 하는가하면

 

1. 치료율이 높습니다.
아래에서 다시 설명하겠습니다만 1980-2007년까지 830명 시술중 534명이 치료(관해)되었습니다.(해당내용은 아래에 다시 도표가 있습니다.)

2. 초기일수록 치료율이 높다.
기존의 치료법(보존적인 치료)대부분이 대부분 식이조절, 고혈압약, 오메가3 등등 의 비교적 소극적인 치료를 하고 계시리라고 봅니다.(적극적인 치료의 경우 경구 스테로이드)
문제는 해당 치료가 치료라고 부르기도 힘든 보조적인 내용의 완화법에 불과하기 때문입니다. (물론 증상개선은 가능하겠지만 근본적인 치료가 아닌것은 틀림없습니다.)
편도선 적출 + 스테로이드 펄스 시술은 초기의 IgA신증 환자가 가장 치료율이 높습니다.

 

혹시 이글을 읽으시는 IgA신증 환자가 현재 신장을 보존하는 보조적인 치료를 의사로부터 설명을 받고 스스로 선택하셨기에 혈압약이나 오메가3를 드시면서 식이요법만을 행하시고 계시다면 전혀 문제가 없습니다.

그러나 만약 주치의가 편도적출이나 스테로이드 펄스를 부정하는 분이기에 치료법에 대한 설명도 듣지 못하고 강제적으로 신장기능 유지만을 목표로 치료를 하는 상황만은 있어선 안된다고 생각하기 때문입니다. (여담이지만 스테로이드 복용보다 오히려 스테로이드 펄스가 더 부작용이 적다고 알려져있습니다.) 그렇게 몇년간 타이밍을 놓치면 스테로이드 펄스나 다른 어떤 치료로도 더이상 효과가 없기에 본인의 의사와는 관계없이 강제적으로 신장을 보존하는 보존요법(혈압약, 오메가3, 저염식/저단백식)을 쓸수밖에 없습니다. 

우리는 우리몸의 상태 및 치료법에 대해 설명을 듣고 치료방침을 선택할 권리가 있습니다.

 

이제부터의 내용은 IgA 신증 근본치료네트워크( http://www.iga.gr.jp )내용으로 일본에서 IgA신증의 권위이자 편도선 적출 + 스테로이드 펄스 시술을 1980년대부터 해왔다고 알려진 堀田修 (홋타 오사무) 라는 의사가 만든 단체에서 제작한 사이트입니다.

 

번역기능으로 직접 보시고 싶은 분은 이하의 링크로 (중요한 내용은 거의 전부 아래에 제가 번역했습니다)

http://honyaku.yahoo.co.jp/url_header?url=http%3A%2F%2Fwww.iga.gr.jp%2F&both=F&ieid=ja&oeid=ko&setting=for%3D0

 


 

 

IgA 신증의 역사와 IgA 신증에 대한 인식의 변화

 

 

(그림1) IgA 신증의 예후의 본질

    사구체 모세 혈관 염증의 정도가 강하고 지속기간이 긴 사례의 진행속도가 빠른 (A). 
    염증형 사구체 모세혈관염이 수십 년 동안 계속해서 진행됨에 따라 고혈압과 단백뇨의 정도가 강해지는 (B).

 

  현재 일본의 IgA신증에 대한 진료의 정책이 지역이나 의료 시설에 따라 제각각이고, 전국의 환자들이 인터넷으로 쉽게 정보를 교환할 수 있기 때문에 혼란이 있는것이 사실입니다. 이런 혼란이 생긴 원인 중 하나는 IgA신증이 처음보고 된 1968년에서 40년 사이에 시대와 함께 변화되어왔습니다. 전세계 많은 국가에서 IgA신증이 만성 사구체신염 중 가장 빈도가 높은 원발성 사구체 신염인 것이 첫번째 보고서에서 아직 얼마되지 않은 1970 년대에 밝혀졌습니다. 그러나 조직검사이후 관찰 기간이 이 시기에는 아직 짧았기 때문에 IgA신증의 예후는 양호한것으로 간주되어 있었습니다. 1980년대에 IgA신증 환자의 10년 이상의 경과가 서서히 드러나 신증의 예후가 반드시 좋지는 않은것으로 밝혀졌습니다. IgA 신증이 반드시 예후가 좋지 않는 것이 발견되었으나 그때까지 IgA 신증이 양호 질환이라는 개념이 이미 머릿속에 박혀있었던 신장내과 전문의들은 IgA 신증중에서 진행이 늦는 IgA "benign IgA nephropathy (양성 IgA 신증)"이외 진행성 경과를 추적하여 "progressive IgA nephropathy (진행성 IgA신증) '의 그룹이 존재한다는 생각을 갖게되었습니다.

  일본에서 대중적인 "예후 양호그룹" "예후 비교적 양호 그룹" "예후 비교적 불량 그룹" "예후 불량 그룹'(일본은 조직검사결과별로 리스크를 4개로 나눕니다.)이라는 IgA 신증의 분류도 같은 이해의 연장 선상에있는 것입니다. 그리고 1980년대, 1990년대에는 '양성 IgA신증'과 '진행성 IgA신증'을 비교하고 후자에서 통계 학적으로 유의하게 빈도가 높은 소견을 "예후 인자'으로 이름을 붙인 임상 연구보고가 이어졌습니다. 그 대표적인 예후인자가 (1) 고혈압, (2) 단백뇨 (3) 신장기능 저하, 그리고 조직검사상에서 진행된 신장조직의 손상정도입니다.

  IgA 신증은 당초 예후 양호로 간주하고 있었기 때문에 특별한 치료는 불필요하다고 생각되어 있었지만, "예후 인자"를 갖는 "진행성 IgA 신증"에 한하여 치료개입을 실시하여 신증의 진행을 지연시키자는 국제적인 합의가 1980년대, 1990년대에 이루어졌습니다. 이 시대는 안지오텐신 전환 효소 (ACE) 억제제가 신증 진행 지연을 일으키는 약으로써 세계에 알려진 시기로 "진행성 IgA 신증"에 ACE 억제제를 사용하는 것은 순식간에 세계 상식이되었습니다. 또한 마찬가지로 신증의 진행을 늦추기 위해 '진행성 IgA 신증"에 스테로이드나 면역억제제를 사용한다는 개념도 점차 받아 들여지게되었습니다.
  그러나 "양성 IgA신증'과 '진행성 IgA 신증"의 차이의 본질은 수십년에 걸쳐 서서히 진행하는가 아닌가 하는 진행속도의 차이에 지나지 않습니다. 즉 발병하고 비교적 얼마되지 않아 앞으로 10년이내에는 말기 신부전 상태가 되지는 않을것이다 라는 단계를 "양성 IgA 신증"으로 보고, 한편 발병 후 이미 오래 경과되었거나 앞으로 10년 이내에 말기 신부전에 이르는 단계를 "진행성 IgA 신증"로 구분했다라는 구분에 불과합니다. 발병에서 말기 신부전에 이르기까지 수십년으로 매우 긴 경과를 보이는 것이 특징인 IgA신증에서는 경과시간을 고려하지않으면 병에 대한 올바른 이해를 할수없습니다.

  IgA신증이 자연관해하는 일부 사례를 제외하고 장기적으로 예후를 불량으로 보는것이 현상황에서는 타당한 해석이라고 할 수 있습니다. 한편 편도선 적출 + 스테로이드 펄스 요법 등으로 초기 단계라면 관해/치료 결과를 얻는것은 현단계에서 확실한 사실입니다. 그러나 신장 질환이 어느 정도 이후의 단계까지 진행해버리면 관해/치료는 불행하게도 어려워지고, 치료 목표는 오로지 신증 진행의 지연이 됩니다.

 치료의 목표로 "관해/치료" 와 "신증진행의 지연"의 차이는 환자에게 엄청난 차이입니다.
 진료제도가 정비되어 IgA신증의 조기발견의 기회가 늘어난 일본에서 "양성 IgA 신증"단계에서 치료를 시작하지 않고, "진행성 IgA 신증"의 단계까지 치료 개입을 하지않는 종래의 방법으로는 관해/치료의 기회를 놓치는 것으로 이어지며,  더이상 환자를 납득시킬 수 없는 시대가 도래하고 있습니다.

 

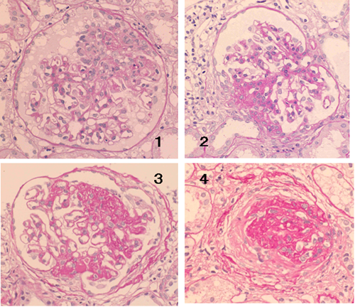
IgA 신증이 진행하는 메커니즘

 

  IgA 신증은 조금씩 사구체가 시간이 지남에 망가져가며 시간이 경과함에 따라 망가진 사구체가 증가하고 남아있는 사구체의 수가 줄어듭니다. 그렇다면 어떻게 사구체가 점점 망가지는 것일까요?

  IgA 신증의 진행 메커니즘의 초기 단계에서 중심 역할은 호중구(neutroph, 好中球: 조직이 손상되었을때 세균의 포식과 살균을 주로 하는 백혈구의 일종)나 매크로 퍼지(면역을 담당하는 백혈구의 부모세포)에 의해 발생한 염증과 함께 일어나는 단열, 내피손상 등으로 인한 사구체 모세 혈관 벽의 손상입니다. 사구체 모세 혈관의 파열이나 괴사후에는 경화가 진행되어 그 부위의 기능이 손실됩니다. 이 현상은 한때에는 전체 사구체의 일부 (일본의 의학 용어로는 "소상[巣状]")에서 다른 사구체 모세 혈관의 일부 (의학 용어로는 "분절성[分節性]")로 반복되어 "염증 → 상처" 의 축적이 IgA 신증의 초기 단계에서 일어나는 신부전 진행 메커니즘입니다. (그림 2).

 

(그림2) 사구체 모세혈관염 -> 반복된 흉터에 의해 사구체가 망가져감

 

 

IgA 신증의 비교적 초기 단계까지는 사구체 모세혈관의 염증이 신장질환의 주요 진행요인이지만, 신부전이 진행되면서 염증과 관련이 없는 진행성 요인이 IgA 신증, 당뇨병성 신증, 고혈압성 신장경화증 등에서 공통적으로 작용하여 신부전의 악화를 촉진합니다.

1. 신부전이 진행되어 사구체의 수가 줄어들면 문제없는 사구체에 그만큼 과부하가 걸리게 사구체의 수가 줄어들면 줄어들수록 남은 사구체는 부서져 쉬워집니다 (대체성 사구체 과잉 여과).

2. 사구체에서 새어나온 단백질 입자는 세뇨관에 대량으로 흡수되어 라이소솜(lysosome : 인체 세포 내에 있으면서, 세균이나 바이러스 등 달갑지 않은 것이 침입해 오면 이것을 파괴하는 조직체.)의 처리 능력을 초과하면 그 자체가 세뇨관 상피 세포의 염증성 사이토카인(cytokine: 각종 세포가 만들어내는 단백질로, 표적 세포의 수용체를 개재시켜 세포의 증식과 기능에 영향을 미치는 세포간 정보 전달물질의 총칭.) 생산의 자극이되어 세뇨관 및 세뇨관 결합조직의 손상을 초래합니다 (단백질 과부하성 세뇨관/결합조직 상해).

3. 신장 질환이 진행되면 신장의 혈류가 저하함에 따라 허혈(혈액이 부족하여 사구체가 제대로 작동하지 못하는 상황)상태가 되기 쉽습니다. 허혈 자체에 의해 신장의 경화가 더욱 촉진됩니다 (허혈성 신장손상).

 

(그림3) IgA신증의 경과와 신증의 진행요인

 

이상의 내용을 정리하면 IgA 신증의 초기에는 염증성 사구체모세혈관의 염증이 신장 질환을 악화시키는 원인의 주된 내용이지만 신부전이 진행됨에 따라 복수의 진행 요인이 복합적으로 작용하여 신장 질환의 악화를 촉진시킵니다. 이러한 진행상황을 반영하여 IgA 신증의 신장 기능의 저하 속도는 일반적으로 처음에는 느리지만 서서히 도중부터 가속화됩니다 (그림3). 즉 IgA 신증의 발병후 경과를 보면 처음에는 비교적 쉽게 치료 될 수 있는 질병이지만 점점 괴물로 변해갑니다.

 

 

편도선적출과 스테로이드 펄스의 적용과 치료 목표

 

 

(그림4) IgA신증의 진행과 치료목표

IgA 신증의 경과에 두 가지 중요한 포인트가 있습니다. 첫째는 그 지점을 지나면 더 이상 편도선적출+스테로이드 펄스를 포함한 어떠한 치료로도 관해(寛解)를 노릴 수 없게 되는 point of no remission, 두 번째로 이 시기를 지나면 약물 치료와 식이조절 등을 포함한 어떤 방법을 통해서도 더 이상 신증의 지연을 기대할 수 없는 point of no slowing 입니다. 두 번째 포인트를 지나면 투석으로의 지연에 집착하지 않고 투석을 염두에 둔 정신적인 치료를 포함한 요양지도가 필요합니다.

IgA신증의 관해, 치료를 위해서는 "point of no remission"에 도달하기전에 유료한 치료를 할 필요가 있다

1) 최선의 목표는 신증의 관해(寛解)/치료
편도선적출과 스테로이드 펄스는 "염증성 사구체 모세 혈관염"을 소멸시키는 치료이므로 편도선적출과 스테로이드 펄스에 의해 기대할 수 있는 효과는 치료 개입시의 IgA 신증의 상태에 따라 결정됩니다. 즉, 초기 단계에서는 사구체 모세 혈관 염증 자체가 신장 질환의 증세를 일으키는 주된 요인이므로 편도선적출과 스테로이드 펄스의 효과로 극적인 관해/치료를 높은 확률로 이룰 수 있습니다. (아래 그림)

 

 

 

 

 

 

한편, 신부전이 진행함에 따라 앞에서 얘기한 염증성 사구체모세혈과염 이외의 진행 요인이 복합적으로 관여하게되고, 편도선적출과 스테로이드 펄스를 이후 사구체모세 혈관염증이 소멸한다고 해도 그 이외의 요인은 존재하게 됩니다. IgA 신증의 상태에서 치료 개입에 의해 확실하게 제거 할 수 있는 것은 사구체 모세혈관염증만으로 그 이외의 요인은 신장 보호 작용을 갖는 안지오텐신 수용체 차단제 (ARB) 등의 강압제 를 포함하여 어떠한 시술을 거듭해도 완전히 제거 할 수는 없습니다. 따라서 사구체 모세혈관염이 사라진 시점에서 단백뇨가 남아있는 사례에 대해서는 관해/치료에 관한 기대치는 낮아집니다. 그러므로 관해/치료를 목표로 한다면 편도선적출과 스테로이드 펄스의 개입시기는 빠르면 빠를수록 좋다 "the earlier, the better"라는 것입니다.


관해되는 사례 중 약 3/4이 치료시작후 1년 이내에 관해에 이르며 더욱이 그 중 약 절반은 치료시작 반년의 시점에서 관해라는 결과를 얻을 수 있었습니다. 또한 조기발병에서 치료시작이 이루어질수록 치료의 기간의 단축으로도 이어지기에 빠른 치료일수록 환자의 혜택이 크다고 할 수 있습니다. 또한 초기 단계에서는 편도선적출만으로도 40% 정도의 확률로 관해를 기대할 수 있기 때문에 스테로이드 펄스는 실시하지 않고 편도선적출만으로 잠시 경과를 보는 것도 또 다른 선택으로서 존재합니다만 편도선적출후 2년이 경과해도 소변이상이 변함없이 존재한다면 스테로이드 펄스 시술을 추가해야한다고 사료됩니다.


초기 단계의 IgA 신증에서 자연 관해하는 케이스가 20% 정도의 확률로 존재한다고 합니다.
자연 관해하는 사례를 들어 편도선적출과 스테로이드 펄스하는 것은 과잉 치료이며, 초기 단계의 IgA 신증 환자에게 편도선적출과 스테로이드 펄스와 같은 적극적인 치료 개입을 할 때에는 의사의 마음속에는 딜레마가 생깁니다.  그러나 실제 임상에서는 IgA 신증의 진단단계에서 자연 관해의 가능성이 없는 케이스를 판별하는 것은 쉽지만 앞으로 자연 관해하는 케이스를 판별하는 것은 불가능합니다. 따라서 "초기 IgA 신증 단계에서는 과잉 치료를 피해야한다" 라는 논리는 이론적으로는 맞을지도 모르지만 자연관해를 예측할 수 없는 상황에서 탁상공론입니다.

지금까지 본 병원에서 편도선적출과 스테로이드 펄스를 실시한 1500 명 가운데는 초기 단계의 IgA 신증도 다수 포함되어 있으며 관해/치료된 환자중에는 치료하지 않아도 자연 관해의 케이스도 필연적으로 포함되어 있었다고 생각됩니다. 그러나 관해된 환자는 모두 관해라는 결과에 만족하고 있으며 "불필요한 치료를 받았을지도 모른다"라고 후회를 하는 환자는 아직까지 한 명도 없습니다.
그러나 반면에 치료시작이 너무 늦었기에 사구체 모세혈관염증으로 인한 혈뇨가 사라져도 단백뇨가 남아있고 IgA 신증과 강제적으로 평생 함께하게 된 환자가 "더 빨리 치료를 받았어야했다" 라고 후회를 하는 환자가 적지 않습니다. 이 점은 특히 초기의 IgA 신증 환자일 경우 더더욱 염두에 두어 주셨으면 합니다.

 

 

2) 차선의 목표는 신장 질환의 진행 지연


유감스럽게도 치료시작 시점에서 이미 관해/치료를 기대할 수 없는 단계까지 진행한 경우 차선의 치료 목표로 "신증 진행의 지연" 을 목표로 합니다. 그렇다면 신부전의 어느 단계까지라면 편도선적출과 스테로이드 펄스로 신부전의 진행 지연을 기대할 수 있을까요?

편도선적출과 스테로이드 펄스는 사구체 모세 혈관 염증을 소실시키는 치료이므로 이론적으로는 그 병세가 남아있는 동안은 유효라는 것이 됩니다만 진행요인으로서의 사구체 모세혈관염증 이외의 요소가 커질수록 즉, 병이 진행되었을수록 편도선적출과 스테로이드 펄스의 효과가 떨어지고 있습니다.

환자집단에서 평가한 검토결과에서는 크레아티닌치 2mg / dl 정도의 신장 기능 저하상태까지 편도선적출과 스테로이드 펄스의 신장 기능의 유지 효과를 기대할 수 있다고 시사되고 있습니다.(그림 4) 실제로 해당 상태에서 신장기능만의 편도적출 + 스테로이드 펄스의 적용을 결정할 수 는 없습니다. 즉 단기간에 신장 기능이 저하 된 증례에서는 크레아티닌치 2mg / dl 이상 신장기능 저하가 있어도 편도적출 + 스테로이드 펄스에 의해 극적인 신장 기능 유지 효과를 얻을 수 있는 케이스가 적지 않습니다. 반대로 신장 기능이 천천히 저하된 사구체 모세 혈관염증의 활동성 염증이나 혈뇨가없는 경우는 크레아티닌치 1.3 mg / dl 정도의 비교적 약한 단계의 신부전에도 스테로이드 펄스에 의한 신장 기능 유지 효과는 거의 기대할 수 없습니다.

Cr 1.5mg / dl 이상의 신장기능저하 케이스에서도 편도적출 + 스테로이드 펄스에 의한 신장 기능 유지 효과는 기대가능

 

3) 부작용 대책


2007 년에 전국의 다양한 형태의 편도선 적출 + 스테로이드 펄스를 시행하고있는 의료 시설에 대해 실시한 설문 조사 1401 명 (센다이 사회보험병원 제외)에서는 편도선 적출 + 스테로이드 펄스에 의한 심각한 부작용은 발현빈도는 대퇴골두무혈성괴사 (0.24 %), 폐렴 등의 중증 감염증 (0.12 %)이었다. 대퇴골두무혈성괴사의 사례는 모두 나이가 40세 이상 (40대 1명, 50대 3명)으로 펄스후 PSL(경구형 스테로이드)의 격일투여가 아닌 연일 투여한 사례였습니다.

비교적 빈도가 높은데다 예방이 가능하고, 뒤늦은 발견이 본격적인 당뇨병을 일으키는 가장 주의해야 할 부작용은 스테로이드에 의한 2차성 당뇨병의 유발입니다. 펄스 중 식후 고혈당은 40세 이상에서 높은 빈도로 발생합니다. 저녁 식사후 혈당이 최고치인 경우가 많지만 이른 아침에는 정상 범위까지 회복하고있는 경우가 적지 않기 때문에 아침식사전 혈당 측정만으로는 위험을 놓칠 위험이 있습니다. 점심 2시간 후에 혈당 측정을 실시 200mg/dl 이상인 경우 매번 식사전 즉효성 인슐린을 3회 주사합니다. 이로 인해 췌장 β세포의 보호와 당 독성의 제거를 도모하고, 본격적인 당뇨병의 발병을 억제할 수 있습니다. 또한 일반적으로 스테로이드의 사용감량에 따라 인슐린 치료를 해제할 수 있습니다. 펄스 종료후 식후 고혈당이있는 경우에는 스테로이드 사용중에는 α글루코시다제 억제제를 병용하고 있지만 인슐린을 필요로하는 경우는 매우 드뭅니다.

젊은 여성이 신경 스테로이드의 부작용인 문 페이스는 펄스후 치료가 PSL(경구 스테로이드) 연일 투여는 반드시 필요하지만, 펄스후 PSL 격일 투여 및 칼로리 제한 (1200-1400 kcal/Day)으로 거의 차이가 없을 정도로 예방할 수 있습니다. 또한 스테로이드로 인해 여드름이 나오기 시작하면 특히 젊은 남성에서는 비교적 단기간에 확대 경향이 있습니다. 여드름이 심해지는것을 방지하려면 여드름이 발생했을때 조기에 미노사이크린 100mg 의 투여가 유효합니다.

심장의 격한 고동, 안면홍조, 불면증은 펄스시의 교감 과잉항진상태로 인해 나타납니다. 젊은 남성에서는 드물고, 여성에게 주로 나타나는 경향이 있습니다. 증상에 의해 불편한 경우 에티조람 (상품명 : 데파스) 등의 항우울제를 투여합니다. 긴장하기 쉬운 환자에게 예방을 위해 사전 투여하는 것도 고려합니다. 교감신경의 과잉항진을 억제하기 위해서는 편안한 환경 조성이 필요하며, 환자의 취향에 따라 아로마 테라피 등도 효과가 있습니다. 교감신경 항진에 의한 부작용을 미연에 억제하는데 가장 중요한 점은 환자가 안심하고 펄스치료에 임하는 것입니다. 그 때 환자에 대한 의사의 태도는 중요합니다. 경험 부족에서 오는 불필요한 환자의 불안을 조장하는 설명은 자제해야합니다.

딸꾹질은 드문 부작용이지만 펄스동안 발생하는 경우가 있습니다.(거의 대부분이 남성). 단발성의 경우 별도의 대응이 필요하지 않지만 장시간 지속적으로 발생하는 경우 환자에게는 고통일 수 있습니다. 딸꾹질의 대처로는 감의 꼭지로 만든 차가 유효하지만 입수가 힘들 경우에는 염산 클로르 프로마진 (25mg) 2T/2 를 사용할 수 있습니다.

 

편도선적출과 스테로이드 펄스로 관해를 얻지 못했을때의 대응

 

혈뇨가 사라지지 않는 경우

 

편도선적출과 스테로이드 펄스이후 2년이 경과해도 혈뇨가 소실하지 않으면 뭔가 해결해야할 문제가 있습니다.혈뇨가 언제 음성이었는지 명확하지 않은 환자의 경우 먼저 전자 현미경 소견의 재확인이 필요합니다. 경험상 뚜렷한 가족력이 없는 비박기저막 질환이 IgA 신증과 합병증으로 생기는 상황이 드물게 있습니다. 이 경우 혈뇨는 평생 사라지지 않지만 사구체 모세혈관염증을 반영하고있는 것은 아닙니다. 추가 치료는 원칙적으로 불필요합니다.

몇 년전까지 확실히 혈뇨가 음성이었을 경우는 (1) 병소 감염이 남아있다 (2) 펄스 치료가 미흡 (1) (2) 중 하나의 가능성을 생각할 수 있지만 빈도상으로 전자가 많다고 생각됩니다. 병소 감염으로 편도선 염증, 상인두 염증, 치아의 치주질환 등의 치과 영역의 만성 감염이 관여하고있을 가능성이 있지만, 그 중에서도 상인두 염증이 중요합니다. 그러나 불행히도 상인두염의 개념은 이비인후과 의사들에게도 널리 퍼지지 않은 개념이기에 상인두염이 존재하는 상태에서 이비인후과 진찰을 해도 이상이 발견되지 않는 경우도 적지 않습니다. 자세한 내용은 저서 "만성 면역 질환의 근본 치료에 도전", "IgA 신증의 병태와 편도선 스테로이드 펄스 요법」(의료 과학 국제) 를 참조해주세요.
이러한 병소 감염을 철저히 치료하면 혈뇨의 손실, 즉 사구체 모세 혈관 염증의 소실을 기대할 수 있습니다. 경과에 따라 병소 감염의 치료와 함께 추가 펄스를 할 수 있습니다.

 

혈뇨는 소실되었지만 단백뇨가 남아 버린 경우

 

혈뇨가 사라진 것은 사구체 모세혈관의 염증이 소실된 것을 의미합니다.편도선적출과 스테로이드 펄스는 사구체 모세혈관염증을 소멸시키는 치료이기 때문에 치료에 의해 기대되는 효과는 도달했다고 간주할 수 있습니다.
즉, 편도선적출과 스테로이드 펄스를 실시해 혈뇨가 소실하여 단백뇨가 남은 경우 치료 개입시기가 너무 늦었다는 것을 나타냅니다. 이 경우는 레닌안지오텐신 계열의 억제제 등으로 단백뇨의 감소를 목표로합니다.
발병 3년 이내에 편도선적출과 스테로이드 펄스에의해 관해된 경우의 재발률은 평균 6.8년간의 관찰기간에 2%로 매우 낮은 값입니다. 혈뇨를 동반한 재발이 본래의 IgA 신증의 재발로 간주될 수 있습니다. 염증이 진행되고 있는 사구체의 수가 적어진 상태에서는 일단 관해해도 남은 사구체에 과도한 부하가 걸려 거기에서 단백질이 새어 나오는 현상이 생기기 쉽습니다. 그 경우는 사구체 모세혈관에 염증이 없기 때문에 혈뇨가 동반되지 않습니다.

 

 

 

제가 개인적으로 IgA신증의 치료에 대해서 다루고 싶은 모든 내용이 이 게시물에 축약되어있습니다.

제가 치료를 진행한 이유도 이 글로 인해 깨달은 점이 있었기 때문이며, 현재 관해상태에 이른 원동력이 된 글이기도 합니다.

 

 

+ Recent posts